Dr. Khetarpal is up-to-date on all of the most recent dental technological advancements. Today’s dental technology makes maintaining a healthy smile much easier and more convenient. Many of our dental procedures can be performed in a single office visit. We utilize the latest high-tech dental care equipment such as laser dentistry, digital radiography, CEREC and CAD CAM Crowns for virtually pain-free dentistry.
Check Ups
The key to keeping a bright, healthy smile throughout your adult years is to practice proper oral hygiene and see the dentist regularly. Even adults can get cavities and gum disease that can lead to serious and expensive health issues.
Throughout your adult life, it’s important to continue to brush twice a day with a fluoride toothpaste, floss daily to remove plaque from between your teeth and under your gumline, and limit sugary or starchy foods, especially sticky snacks.
Even if you brush and floss regularly, you may face certain oral health issues as an adult. Dr. Khetarpal can help you be proactive with all of your adult dental challenges.
Preventative checks
Gum disease treatments
Composite/White Fillings — Dr. Khetarpal places white bonded fillings on teeth that need to be filled due to decay or fracture. Composite fillings have been used since the 1960’s. Needless to say, the materials and technique for use have been improved since that time. Resin fillings are esthetic and function just as good as a traditional amalgam(silver) filling. We monitor these restorations at every preventative visit and yearly we take radiographs to ensure they are sealed properly to the tooth structure. Composite fillings are light cured to increase bond strength. Most curing lights take 30-60 seconds to obtain cure. Dr. Khetarpal uses technology that allows light curing to take place in 3 seconds!
As you advance in years, dental care becomes more important. Gum disease, cavities around old fillings, tooth sensitivity and damage to aging teeth can become more common.
There are many solutions to these problems but it is critical to your oral and overall health to take care of them before they become major issues. Preventive dentistry is very important.
Check Ups
The key to keeping a bright, healthy smile throughout your adult years is to practice proper oral hygiene and see the dentist regularly. Even adults can get cavities and gum disease that can lead to serious and expensive health issues.
Throughout your adult life, it’s important to continue to brush twice a day with a fluoride toothpaste, floss daily to remove plaque from between your teeth and under your gumline, and limit sugary or starchy foods, especially sticky snacks.
Even if you brush and floss regularly, you may face certain oral health issues as an adult. Dr. Khetarpal can help you be proactive with all of your aduld dental challenges.
- Same-day appointments
Preventative checks
Gum disease treatments
Composite/White Fillings — Dr. Khetarpal places white bonded fillings on teeth that need to be filled due to decay or fracture. Composite fillings have been used since the 1960’s. Needless to say, the materials and technique for use have been improved since that time. Resin fillings are esthetic and function just as good as a traditional amalgam(silver) filling. We monitor these restorations at every preventative visit and yearly we take radiographs to ensure they are sealed properly to the tooth structure. Composite fillings are light cured to increase bond strength. Most curing lights take 30-60 seconds to obtain cure. Dr. Khetarpal uses technology that allows light curing to take place in 3 seconds!
As you advance in years, dental care becomes more important. Gum disease, cavities around old fillings, tooth sensitivity and damage to aging teeth can become more common.
There are many solutions to these problems but it is critical to your oral and overall health to take care of them before they become major issues. Preventive dentistry is very important.
CEREC: Same Day Crowns
Cerec technology has been around for over a decade. This technology allows us to mill out a crown out of two different materials, lithium disilicate and zirconia. Both materials are what labs use when we send physical impressions. Same day dentistry allows our practice to prep the tooth, take a digital scan and seat the permanent restoration without having the tooth to be temporized for two weeks while the lab makes the restoration. Our lab is in house! For a single crown we book 2 hours of chair time. There is some time to relax so bring a book or get some work done. Please let us know if you would like to see our new technology, we would love to show it off.


SureSmile® Clear Aligners
Say goodbye to misaligned teeth and hello to a brighter, more confident you with SureSmile® Clear Aligners! SureSmile® Clear Aligners are designed to transform your orthodontic journey into a smooth, efficient, and highly effective experience. Unlike traditional options, SureSmile® Clear Aligners require less chair time, with three out of four cases needing no refinements. This means fewer visits to the dentist and more time for you to focus on what matters most. Additionally, these aligners are custom-made for each patient using advanced technology and proven materials. Their unique straight trimline improves force transmission, reducing the need for attachments and ensuring a comfortable fit from start to finish.
Discover how SureSmile® can enhance your smile at SureSmile.com.




Dental Implants & Dentures
Dental implants are metal posts or frames that are surgically positioned into the jawbone beneath your gums. Once in place, they allow your dentist to mount replacement teeth onto them.
Because implants fuse to your jawbone, they provide stable support for artificial teeth. Dentures and bridges mounted to implants won’t slip or shift in your mouth — an especially important benefit when eating and speaking. This secure fit helps the dentures and bridges — as well as individual crowns placed over implants — feel more natural than conventional bridges or dentures.
For some people, ordinary bridges and dentures are simply not comfortable or even possible, due to sore spots, poor ridges or gagging. In addition, ordinary bridges must be attached to teeth on either side of the space left by the missing tooth. An advantage of implants is that no adjacent teeth need to be prepared or ground down to hold your new replacement tooth/teeth in place.
To receive implants, you need to have healthy gums and adequate bone to support the implant. You must also commit to keeping these structures healthy. Meticulous oral hygiene and regular dental visits are critical to the long-term success of dental implants.
Implants are usually more expensive than other methods of tooth replacement, and most insurance carriers typically cover less than 10 percent of the fees.
The American Dental Association considers two types of implants to be safe. They are:
Endosteal implants — these are surgically implanted directly into the jawbone. Once the surrounding gum tissue has healed, a second surgery is needed to connect a post to the original implant. Finally, an artificial tooth (or teeth) is attached to the post-individually, or grouped on a bridge or denture.
Subperiosteal implants — these consist of a metal frame that is fitted onto the jawbone just below the gum tissue. As the gums heal, the frame becomes fixed to the jawbone. Posts, which are attached to the frame, protrude through the gums. As with endosteal implants, artificial teeth are then mounted to the posts.
Implants generally last 10-20 years, depending on the location of the implant and patient compliance with oral hygiene and dental visits. Because molars receive more stress and wear and tear, these implants typically do not last as long as implants located at the front of your mouth.
Partials Dentures — When multiple teeth are missing a partial denture is a great restorative option. A partial can help you chew better, give you a great smile and keep your bite from shifting. Some patients use a partial denture short- term until they can transition into getting implants for a better long-term solution. Dr. Khetarpal prefers to make metal framework partials for best strength and longevity.
Full Dentures — When complete tooth loss occurs due to non-restorability then a full denture is the best option. The ideal treatment option is to have dentures retained to implants. Implants keep the jaw bone from degrading and keep the face looking fuller. Implants allow the denture stability and the patient can have better function. Dr. Khetarpal works with surgeons in the area to provide comprehensive care for implant placement and uses a local lab for quality denture restorations.
Invisalign®
The Invisalign® system can help you get the great smile you’ve always wanted with a system that uses a series of invisible, removable and comfortable aligners (made from impressions of your own teeth and 3-D computer imaging technology).
Invisalign aligners straighten your teeth without metal braces, wires or brackets. The Invisalign system works by wearing each set of aligners for about two weeks, removing them only to eat, brush and floss.Invisalign® is a popular choice among adult orthodontic patients with treatment time averaging between 9 and 15 months.
Dr. Khetarpal has been trained for many hours in treating a variety of orthodontic cases. Additionally, she has gone through traditional orthodontics and Invisalign herself. She would love to share her journey to achieving a healthy smile and discuss treatment options with you.
Our practice has recently made the invislaign process simpler buy using a new technology scanning system. With the use of an Itero scanner we can show you potential before and after same day. Please call us for a free consult.




Dental Implants & Dentures
Dental implants are metal posts or frames that are surgically positioned into the jawbone beneath your gums. Once in place, they allow your dentist to mount replacement teeth onto them.
Because implants fuse to your jawbone, they provide stable support for artificial teeth. Dentures and bridges mounted to implants won’t slip or shift in your mouth — an especially important benefit when eating and speaking. This secure fit helps the dentures and bridges — as well as individual crowns placed over implants — feel more natural than conventional bridges or dentures.
For some people, ordinary bridges and dentures are simply not comfortable or even possible, due to sore spots, poor ridges or gagging. In addition, ordinary bridges must be attached to teeth on either side of the space left by the missing tooth. An advantage of implants is that no adjacent teeth need to be prepared or ground down to hold your new replacement tooth/teeth in place.
To receive implants, you need to have healthy gums and adequate bone to support the implant. You must also commit to keeping these structures healthy. Meticulous oral hygiene and regular dental visits are critical to the long-term success of dental implants.
Implants are usually more expensive than other methods of tooth replacement, and most insurance carriers typically cover less than 10 percent of the fees.
The American Dental Association considers two types of implants to be safe. They are:
Endosteal implants — these are surgically implanted directly into the jawbone. Once the surrounding gum tissue has healed, a second surgery is needed to connect a post to the original implant. Finally, an artificial tooth (or teeth) is attached to the post-individually, or grouped on a bridge or denture.
Subperiosteal implants — these consist of a metal frame that is fitted onto the jawbone just below the gum tissue. As the gums heal, the frame becomes fixed to the jawbone. Posts, which are attached to the frame, protrude through the gums. As with endosteal implants, artificial teeth are then mounted to the posts.
Implants generally last 10-20 years, depending on the location of the implant and patient compliance with oral hygiene and dental visits. Because molars receive more stress and wear and tear, these implants typically do not last as long as implants located at the front of your mouth.
Partials Dentures — When multiple teeth are missing a partial denture is a great restorative option. A partial can help you chew better, give you a great smile and keep your bite from shifting. Some patients use a partial denture short- term until they can transition into getting implants for a better long-term solution. Dr. Khetarpal prefers to make metal framework partials for best strength and longevity.
Full Dentures — When complete tooth loss occurs due to non-restorability then a full denture is the best option. The ideal treatment option is to have dentures retained to implants. Implants keep the jaw bone from degrading and keep the face looking fuller. Implants allow the denture stability and the patient can have better function. Dr. Khetarpal works with surgeons in the area to provide comprehensive care for implant placement and uses a local lab for quality denture restorations.
Cosmetic Dentistry
A cosmetic dentist focuses on creating your picture perfect smile. Even the most challenging cases can have exceptional results with the advances in cosmetic dentistry methods. As a Cincinnati cosmetic dentist, our office has many available choices to improve your smile. This includes implant fixtures, bridges, dentures, inlays, onlays, composite bonding, teeth whitening and veneers. Not every cosmetic dental procedure option is right for everyone, so each patient must discuss their individual treatment goals with Dr. Khetarpal to find the most effective treatment option.
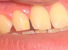
Below is an example of cosmetic dentistry, in this case we treated the hypocalcification on gingival margins due to braces on teenage patient.




Botox — Dr. Khetarpal is certified from the American Academy of Facial Esthetics to provide botulism toxin to the facial area. The brand Dr. Khetarpal has been trained on is xeomin. Patients have had great results in their forehead, glabellar, and crows feet area. By injecting into the area of concern the muscle is stopped from moving which in turn stops the wrinkle from moving. Treatment is recommended every 3-4 months to prevent wrinkles from forming. The earlier you start treatment the less likelihood of deeper wrinkles in the future.
Occlusal Bite Guards — Wearing a bite guard at night time is recommended for patients that clench or have worn the enamel off their teeth. Clenching can cause headaches or facial muscle aches. A bite guard is the first line of defense to prevent tooth fractures and muscle tensions. Additionally, a guard should be worn if substantial amount of restorative dentistry has been completed. This will prevent fractures of crowns/veneers so the restorations have longevity. Guards are made by taking an impression or digital scan of teeth, they are sent to the lab to fabricate in a hard acrylic material. Dr.Khetarpal adjusts all guards before delivery to make sure your bite is even. Please bring them in at your preventative hygiene visits so we can clean them for you.
Children’s Dentistry
There is nothing more precious than the smile of a child. As a parent, you want to protect your child’s teeth and ensure that their smiles last a lifetime.
We are experienced in the care of infants, children and pre-teens. Our goal is to provide an environment in which your child can develop a positive attitude toward visiting the dentist. Our team focuses on giving children a good first experience with an emphasis on good oral hygiene and dental health.
Preventative Checks
Gum Disease Treatments
We recommend that your child should be seen within their first year. Even though your child will not have all of his/her primary (baby) teeth in at this time, it is important to examine your child’s mouth to make sure that no problems exist or will be encountered.
This visit is also aimed at educating parents and providing guidance for the prevention of dental problems in the future. After their first visit, your child will need to be seen at age 2 and then 3. After your child’s visit at age 3, regular 6-month recall visits are encouraged.
We now offer new patient appointments for children 5 and over. We offer education to parents on how to prevent cavities and offer preventive care to children by placing dental sealants and applying fluoride. We monitor growth of the jaw and refer children to the orthodontist when necessary.
Cosmetic Dentistry
A cosmetic dentist focuses on creating your picture perfect smile. Even the most challenging cases can have exceptional results with the advances in cosmetic dentistry methods. As a Cincinnati cosmetic dentist, our office has many available choices to improve your smile. This includes implant fixtures, bridges, dentures, inlays, onlays, composite bonding, teeth whitening and veneers. Not every cosmetic dental procedure option is right for everyone, so each patient must discuss their individual treatment goals with Dr. Khetarpal to find the most effective treatment option.
Below is an example of cosmetic dentistry, in this case we treated the hypocalcification on gingival margins due to braces on teenage patient.




Botox — Dr. Khetarpal is certified from the American Academy of Facial Esthetics to provide botulism toxin to the facial area. The brand Dr. Khetarpal has been trained on is xeomin. Patients have had great results in their forehead, glabellar, and crows feet area. By injecting into the area of concern the muscle is stopped from moving which in turn stops the wrinkle from moving. Treatment is recommended every 3-4 months to prevent wrinkles from forming. The earlier you start treatment the less likelihood of deeper wrinkles in the future.
Occlusal Bite Guards — Wearing a bite guard at night time is recommended for patients that clench or have worn the enamel off their teeth. Clenching can cause headaches or facial muscle aches. A bite guard is the first line of defense to prevent tooth fractures and muscle tensions. Additionally, a guard should be worn if substantial amount of restorative dentistry has been completed. This will prevent fractures of crowns/veneers so the restorations have longevity. Guards are made by taking an impression or digital scan of teeth, they are sent to the lab to fabricate in a hard acrylic material. Dr.Khetarpal adjusts all guards before delivery to make sure your bite is even. Please bring them in at your preventative hygiene visits so we can clean them for you.
Children’s Dentistry
There is nothing more precious than the smile of a child. As a parent, you want to protect your child’s teeth and ensure that their smiles last a lifetime.
We are experienced in the care of infants, children and pre-teens. Our goal is to provide an environment in which your child can develop a positive attitude toward visiting the dentist. Our team focuses on giving children a good first experience with an emphasis on good oral hygiene and dental health.
Dr. Khetarpal’s approach is to educate children in a positive and fun manner. To make it fun and reinforce good habits, every child automatically becomes a member of our “Smile Club.”
- Same-day appointments
Preventative checks
Gum disease treatments
We recommend that your child should be seen within their first year. Even though your child will not have all of his/her primary (baby) teeth in at this time, it is important to examine your child’s mouth to make sure that no problems exist or will be encountered.
This visit is also aimed at educating parents and providing guidance for the prevention of dental problems in the future. After their first visit, your child will need to be seen at age 2 and then 3. After your child’s visit at age 3, regular 6-month recall visits are encouraged.
